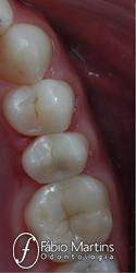
São procedimentos realizados em dentes posteriores, que devido a grande perda de estrutura dental não podem receber restaurações diretas de resina composta. Para serem confeccionadas são necessárias 2 sessões; sendo preparo e moldagem na primeira e colagem na segunda. Esta colagem é extremamente forte - mais forte que a união entre dente e restauração de resina – o que impede que a peça se solte. Importante ressaltar que para realização de inlay / onlay, não precisa ser desgastado mais dente do que o necessário para remoção do tecido cariado e/ou restauração antiga. Caso 1
 Caso 2
 Caso 3

Caso 4
 |
| |
 |
|